Watch Now
Menu
Local
National
Weather
Sports
Traffic
Watch Now
Watch Now
Close
×
Live
Watch
Alerts
Search site
Go
Video
Latest Video
Watch Tampa Bay 28+
Tampa Bay 28 Weather 24/7
Full Circle Florida
News
In Our Communities
Local News
I-Team Investigations
Price of Paradise
Florida News
National News
News Links
Full Circle Florida
Anchors Report
Your Voice
I-Team Investigations
Home Sweet HOA
Patient No More
In Our Communities
Weather
Tampa Bay 28 Weather 24/7
Radar
Severe Weather Alerts
Daily Forecast
Hourly Forecast
Maps & Forecasts
Tracking the Tropics
Tampa Bay 28 Gives
Food For Families
Traffic
Sports
Lightning
Rays
Buccaneers
USF
The Spot - Tampa Bay 66
Lifestyle
Things To Do
At Home with Shay
Mental Health
Tampa Bay's Morning Blend
Tampa Bay's Operation Honoring Heroes
Florida Lottery
Marketplace
Don't Waste Your Money
Your Health Matters
WFTS Tampa Bay's Home Pros
Real Estate Essentials
Best of BayCare
Tampa Bay 28 Listens
About Us
What's on TV
Meet the Tampa Bay 28 Team
Contact
Apps
WFTS Sweepstakes
The Spot - Tampa Bay 66
Fresh Start
Advertise with Us
Support
Jobs at WFTS
Manage Emails
Apps
Careers Search
tampabaynews
tampabay_28
tampabay28
UCK0UUsCjtMRNtS3BPh1Yc4w
@tampabay_28
In Our Communities
I-Team
Your Voice
Lightning
Food For Families
News Links
Good Morning Tampa Bay
Tampa Bay's Morning Blend
The Spot - Tampa Bay 66
Contests
Advertise with Tampa Bay 28
More +
Quick Links +
In Our Communities
I-Team
Your Voice
Lightning
Food For Families
News Links
Good Morning Tampa Bay
Tampa Bay's Morning Blend
The Spot - Tampa Bay 66
Contests
Advertise with Tampa Bay 28
Search site
Search
There are
127379
results that match
Don't Say Gay Bill
.
List
Grid
Sort By:
Relevance
Newest
Oldest
National News
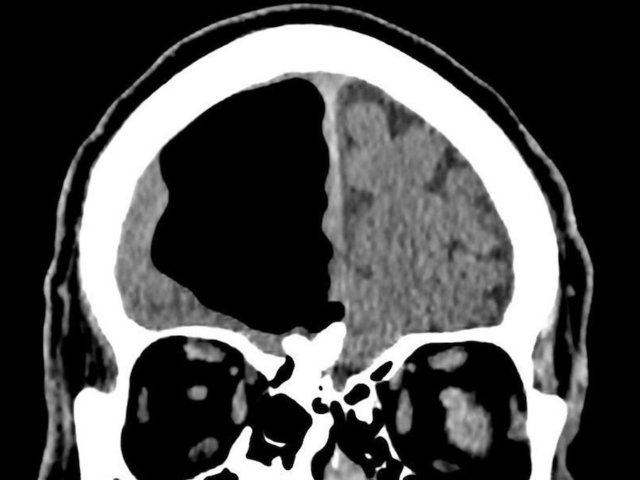
Doctors find air pocket hidden in man's brain
CNN
National News
Kidde smoke detectors recalled
Scripps National
News
President Trump gives presser as Texas floods
Scripps National Desk
Ride-sharing website targets homebound seniors
Associated Press
Florida News
Police: Woman drove drunk with kid, 4 flat tires
Jennifer Tintner
Spring Training
Spring Training Recap: Tuesday March 20
Associated Press
Arrest made in Bradenton murder of blind woman
Jake Peterson
National News
Donald Trump Jr. called for jury duty
Scripps National
New tariffs could affect local business in Tampa
Paul LaGrone
National News
13 Russians charged in Mueller investigation
CNN
Teacher gives Easter baskets to his students
Julie Salomone
National News
Man released from prison after 45 years
CNN
Previous
8491 of 10615
Next